World Kidney Day (12th March): Protecting the Dialysis Lifeline
The Role of Interventional Radiology in Kidney Care
Dr Abhishek Bairy
3/12/20263 min read


🌍 World Kidney Day (12th March): Protecting the Dialysis Lifeline.
The Role of Interventional Radiology in Kidney Care
Every year on World Kidney Day, we are reminded of the silent yet vital role our kidneys play in keeping us healthy. For millions living with advanced kidney failure, dialysis becomes more than a treatment — it is a lifeline. But dialysis cannot function without reliable vascular access, and when that lifeline falters, survival itself is at risk.
This is where Interventional Radiology steps in, offering minimally invasive solutions that restore access, prevent complications, and safeguard the journey of kidney care.


💓 Why Dialysis Access Matters


Dialysis patients typically undergo treatment two to three times per week. Each session requires strong blood flow through a vascular access point — most often an arteriovenous (AV) fistula, created by surgically connecting an artery to a vein in the arm.
Over time, however, these access points can develop problems such as:
Narrowing of the vessel (stenosis)
Reduced blood flow during dialysis
Clot formation
Complete fistula failure
When this happens, dialysis becomes difficult or impossible. Early detection and timely intervention can restore function and preserve the patient’s lifeline.
🔧 Fistula Salvage: Restoring the Lifeline


One of the most crucial procedures performed by Interventional Radiologists is dialysis fistula salvage, also known as fistuloplasty.
Guided by advanced imaging, a tiny catheter is threaded into the narrowed portion of the fistula. A balloon is then gently inflated, reopening the vessel and restoring blood flow.
Benefits of fistula salvage include:
✔ Preserving the patient’s existing access
✔ Avoiding additional surgery
✔ Restoring effective dialysis
✔ Quick recovery with minimal hospital stay
In many cases, this minimally invasive procedure can save a failing fistula and keep dialysis running smoothly.
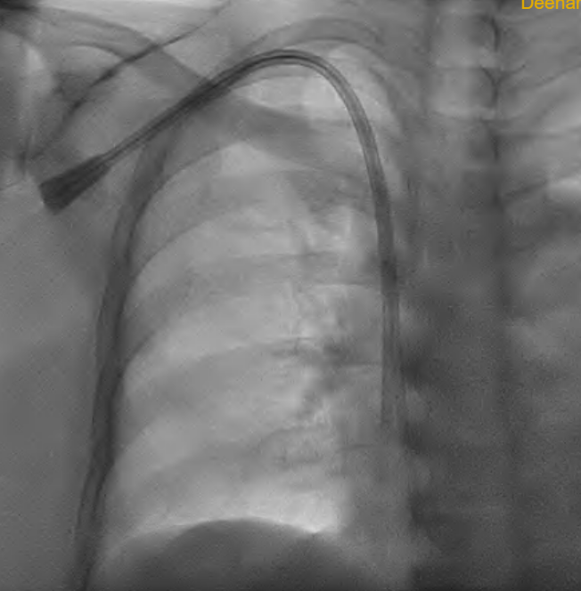
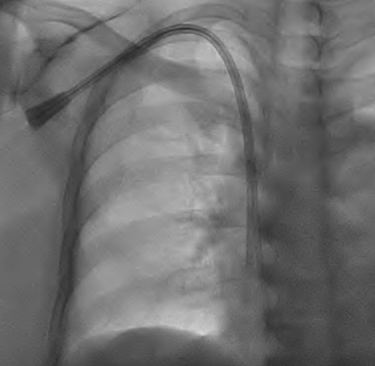
🚑 Tunnelled Dialysis Catheter Placement




Sometimes, patients need immediate dialysis access — especially when kidney failure develops suddenly or when a fistula is not yet ready for use.
In such cases, Interventional Radiologists place a tunnelled dialysis catheter into a large central vein. The catheter is tunnelled beneath the skin before entering the vein, reducing infection risk and allowing repeated dialysis sessions.
This procedure, performed with ultrasound and fluoroscopic guidance, ensures precise and safe placement, giving patients urgent access when they need it most.
🩺 When Should Patients Seek Interventional Radiology Care?


If dialysis sessions become difficult or stop working altogether, the problem is often the access point. Seeking care early can make the difference between salvaging a lifeline and losing it.
Interventional Radiology offers hope by restoring access, preventing complications, and supporting patients through their dialysis journey.
🌟 Conclusion: A Call to Awareness
On this World Kidney Day, let’s remember that kidney health is not just about treatment — it’s about access, awareness, and timely intervention. By recognizing the critical role of Interventional Radiology, we can ensure that patients continue to receive the lifeline they depend on.
Kidney care is a shared responsibility. Spread the word, support awareness campaigns, and encourage early medical consultation. Because when it comes to dialysis, saving the access means saving the patient’s life.